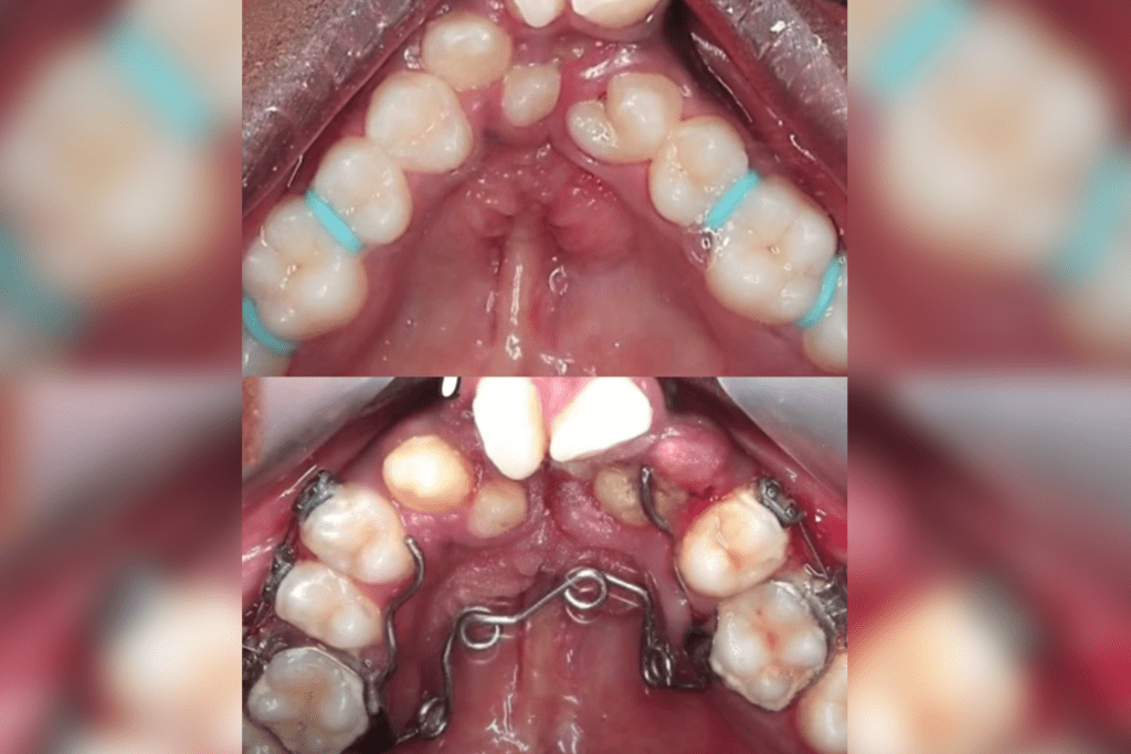
lingual orthodontics

Is lingual orthodontics Truly Invisible? 

Table of Contents

What is Lingual Orthodontics?

We must first know a brief history of lingual orthodontics and how it started. The meaning of lingual is towards or near the tongue, so lingual braces are nothing but orthodontic braces placed on the inner side of your teeth. This makes your treatment invisible.

History of lingual orthodontics.

Lingual orthodontic prototype was created in 1975 for a female model with a high demand for esthetic needs due to her career in modeling.

How does it work?

The lingual braces grab your teeth from the inside and, with the help of orthodontic wires, they move the teeth to their desired place.

Is it truly an invisible line of treatment?

Yes, it is invisible since they are placed on the inner side of your teeth; the front side of your teeth is not covered, making a truly invisible line of treatment.

Why should I get lingual braces instead of other types?

While other braces are efficient in treating your dentition, lingual brackets work effectively without letting anyone know that you are getting your orthodontic treatment done. Lingual orthodontics is particularly helpful for individuals seeking an alternative to traditional ceramic braces. If you are in a dilemma and finding it difficult to decide if you want to get treatment for your smile, fearing that you might have to go through a metallic smile for the next year, then lingual braces are the solution to all your problems.

Does it hurt? I am very sensitive to pain.

No orthodontic treatment with lingual braces is painful. In a few patients, they may feel initial discomfort due to foreign metal braces placed inside the mouth, but these sensations disappear within a few days. With the recent advances in materials and designs, lingual orthodontics brackets are refined and smooth, preventing any injury to the tongue and surrounding soft tissue.

How long will my treatment take?

Treatment time changes from person to person depending on the complexity of tooth movement. A smile treatment can go up to 6 to 8 months, but on average, it takes 10 to 12 months for complete treatment.

What is the cost?

Again, the cost differs for everyone. After you take an orthodontic consultation with our Doctors, you will be given an exact idea about your dentition and how the treatment will take place. To put it in terms of the starting price for lingual would be eighty thousand rupees. 

Do I need extra treatment after braces?

No, once you are happy with your smile, we will remove your braces and clean, polish your teeth, ready for your retainers. 

What are retainers?

Retainers are a part of routine lingual orthodontics treatment. They are of several types, depending on the needs of the patient; our doctors will recommend retainers. Usually, they are transparent retainers to give you the invisible treatment that you deserve.

Conclusion –
Lingual braces are ideal if you are searching for an invisible line of treatment. Lingual orthodontics can be used for simple to complicated cases with both aesthetic and functional needs. It is as effective as traditional braces while offering added benefits.

Leave a Reply

Your email address will not be published. Required fields are marked *

Table of Contents

Recent Blogs

Snoring

Snoring Can Be Dangerous

Obstructive Sleep Apnea (OSA) is a common sleep disorder where breathing repeatedly stops and starts during sleep. It’s not just heavy snoring; it’s a serious

Temporomandibular Joint

Temporomandibular Joint plays a crucial role in our day-to-day life. It helps us in performing various functions like eating, chewing, talking, yawning, and many more.

Temporomandibular Joint (TMJ) Disorders

Disorders of the Temporomandibular Joint (TMJ) can cause severe pain and discomfort, making it difficult to eat, speak, or even sleep. As a set of
Orthognathic surgery

Orthognathic Surgery

Orthognathic surgery, also known as jaw surgery, is a procedure that corrects a variety of issues related to the bones of the face and jaws.

Temporomandibular Joint (TMJ) Ankylosis

Temporomandibular Joint (TMJ) ankylosis is a serious disorder characterized by restricted jaw movement, pain, and frequently noticeable facial asymmetry. It is caused by aberrant bone

Maxillomandibular Advancement For Obstructive Sleep Apnea

The most effective treatment for obstructive sleep apnea (OSA) is continuous positive airway pressure (CPAP). But more than 50% of people cannot handle this procedure

Diagnosis Of Obstructive Sleep Apnea And Polysomnography

What is Obstructive Sleep Apnea? Obstructive sleep apnea occurs when the airway partially or completely collapses repeatedly throughout the night. This results in breathlessness, causing the

Sleep Apnea.

Surgical Therapy For Obstructive Sleep Apnea

Obstructive sleep apnea (OSA) is a problem in which breathing stops for a brief period during sleep that occurs due to narrowing or blocking of

Temporomandibular joint

Temporomandibular Joint

Temporomandibular joint (TMJ) implants are intended to be surgically implanted in the jaw to replace the temporomandibular joint. A variety of artificial materials have been
Hearing Aids Treatment

Hearing Aids Treatment

Hearing Aids Treatment: What Is A Stapedotomy? It is the surgery that treats hearing loss or hearing impairment by removing a dysfunctional small piece of

Voice Feminization Surgery

Voice Feminization Surgery

Amongst the many gender affirmation surgeries, Voice Feminization Surgery is one which is done to make the voice more feminine. It is performed to raise