A confident smile plays a major role in personal expression, self-esteem, and social interaction. With advances in modern dental technology, smile designing has raised from a largely subjective art into a precise, data-driven process.
Digital Smile Designing (DSD) collaborates photography, videography, and specialized software to analyze a patient’s facial features, dental proportions, and lip dynamics. By combining principles of aesthetics with advanced digital tools, at Richardson’s face hospitals Bangalore, we can create highly customized treatment plans that harmonize with each individual’s unique facial characteristics.
Unlike traditional methods, digital dentistry allows both the dentist and the patient to visualize the expected outcome even before the treatment begins and that’s how we communicate with our patients in an effective way. This predictive approach enhances communication, builds patient confidence, and ensures greater accuracy in execution. Ultimately, digital smile designing not only improves clinical outcomes but also transforms the patient’s altogether experience by making it more interactive, transparent, and customised.
We are glad to present a selection of our recent clinical case studies in smile designing, including complex cleft smile rehabilitation cases, all accomplished using advanced digital technology. Each case highlights our systematic approach to diagnosis, planning, and execution through Digital Smile Designing (DSD), enabling precise evaluation of facial aesthetics, dental proportions, and functional requirements.
By incorporating digital tools such as high-resolution imaging, video analysis, and smile simulation software, we are able to create highly individualized treatment plans tailored to each patient’s unique needs. These case presentations demonstrate not only the aesthetic transformations achieved but also the restoration of function and confidence—particularly in challenging cleft smile cases.
Through this integration of technology and clinical expertise, we aim to deliver predictable, minimally invasive, and patient-centric outcomes, showcasing the true potential of modern digital dentistry in smile rehabilitation.
Case presentation number 1
Smile designing using digital dentistry
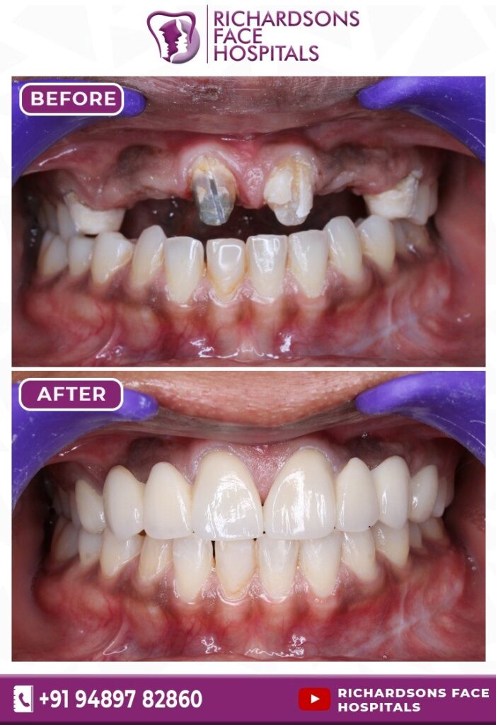
- A 33-year-old female patient from the Maldives presented to us with concerns regarding an existing anterior prosthesis that she found aesthetically unsatisfactory. Her primary complaint was that the prosthesis appeared unnatural and did not blend harmoniously with her overall smile.
- On clinical examination, it was noted that the patient had a congenital absence of the maxillary lateral incisors. The existing prosthesis exhibited several issues, including inadequate shade matching, visible spacing between the central incisors, and poor anatomical contouring, all of which contributed to an artificial appearance.
- Additionally, the patient reported a noticeable reduction in lip fullness following the placement of the prosthesis, which further affected her facial aesthetics and confidence.
- The patient expressed a clear desire to improve the natural appearance of her smile, achieve better tooth proportions and shade harmony, eliminate spacing concerns, and restore adequate lip support
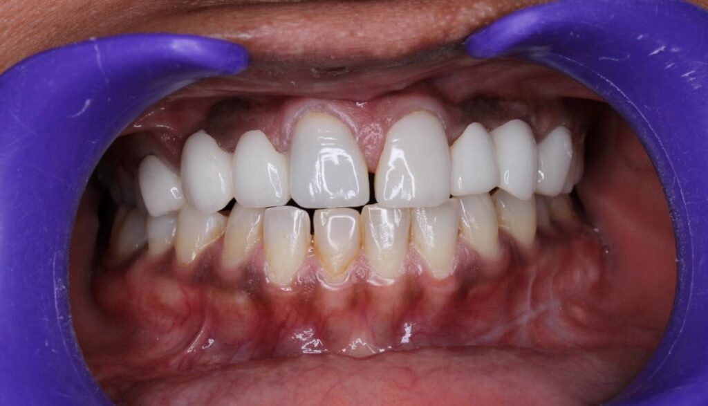
Before Smile Designing




After Smile Designing

Case Presentation 2:
Cleft Smile Designing Using Digital Dentistry
Introduction
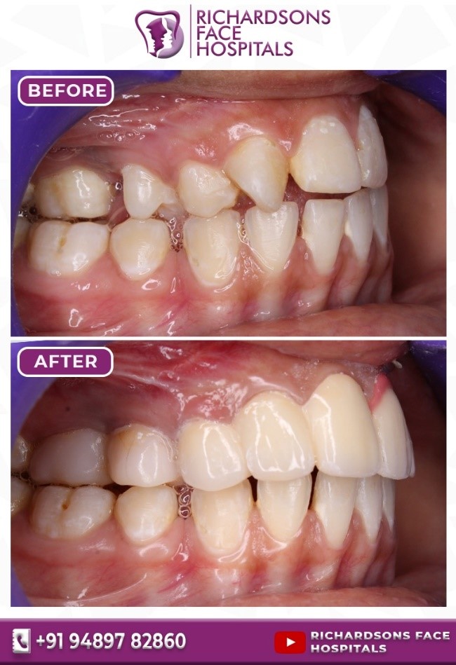
Cleft lip and palate patients often present with complex esthetic and functional challenges. Advances in digital dentistry and smile designing protocols allow clinicians to achieve highly predictable and natural-looking outcomes, even in such demanding cases.
Patient Details
22 year-old female patient reported with concerns regarding an unaesthetic smile associated with a history of cleft lip and palate.
Chief Complaint
- The patient expressed dissatisfaction with:
- Irregular tooth alignment
- Asymmetry in the smile
- Visible spacing and compromised esthetics
- Lack of confidence while smiling
- Clinical Findings
- On clinical examination:
- Presence of repaired cleft lip and/or palate
- Missing or malformed teeth in the cleft region
- Asymmetrical gingival levels
- Collapsed dental arch in the affected segment
- Midline deviation
- Compromised lip support
Diagnosis
The patient was diagnosed with esthetic and functional discrepancies secondary to cleft lip and palate, requiring a multidisciplinary approach.
Treatment Objectives
- To restore smile symmetry
- To replace missing teeth in the cleft region
- To improve gingival architecture
- To enhance lip support and facial profile
- To achieve a natural, harmonious smile
- Treatment Planning
- A digital smile designing (DSD) protocol was implemented:
- High-resolution photographs and intraoral scans were obtained
- Facial and dental proportions were analyzed digitally
- Smile design was created considering facial symmetry and lip dynamics
- A mock-up was fabricated to visualize the final outcome
- A multidisciplinary plan was formulated, which included:
- Prosthetic rehabilitation using crowns, bridges
- Treatment Procedure
- Digital smile design was finalized and approved by the patient
- Trial mock-up was placed for esthetic validation
- Tooth preparation and provisional restorations were done
- Final prosthesis was fabricated based on digital planning
- Prosthesis was delivered ensuring optimal esthetics and function
Results
- Improved smile symmetry and balance
- Closure of spaces and replacement of missing teeth
- Enhanced lip support and facial harmony
- Significant improvement in patient confidence
Conclusion
Cleft smile rehabilitation requires careful planning and execution. With the integration of digital dentistry, clinicians can now provide highly predictable, esthetic, and patient-specific outcomes. Digital smile designing plays a pivotal role in visualizing and achieving these results effectively.
Clinical Significance
- This case highlights the importance of:
- Digital planning in complex esthetic cases
- Multidisciplinary collaboration
- Patient involvement through visual mock-ups






Conclusion
At Richardsons Face Hospitals, advanced smile designing goes beyond improving teeth—it is about transforming confidence, restoring harmony, and enhancing overall facial aesthetics. By integrating digital dentistry with a personalized, patient-centric approach, each smile is carefully analyzed, planned, and crafted to complement the individual’s unique facial features.
From simple esthetic corrections to complex rehabilitations such as cleft smile designing, our focus remains on precision, predictability, and natural-looking results. With the power of digital smile design, patients are actively involved in visualizing their outcomes, making the journey as reassuring as the final result is rewarding. A beautiful smile is not just created—it is thoughtfully designed, and at Richardsons, we are committed to delivering smiles that truly reflect confidence, function, and individuality.