Orthodontics

Best Orthodontics Treatment In Bangalore

At Richardsons Face Hospital, we specialize in best orthodontics treatment in Bangalore, offering solutions that straighten teeth, correct bites, and enhance smiles.

Using the latest braces, aligners, and advanced techniques, our skilled team customizes each treatment plan to ensure optimal results and long-term oral health.

Whether you’re dealing with overcrowded teeth, gaps, or alignment issues, trust us to provide the best orthodontics treatment in Bangalore for a confident, beautifully aligned smile.

best orthodontics treatment in Bangalore

Aligner Transparent Treatment

Aligner Transparent Treatment

What are Aligners?

Aligners are clear, transparent plastic trays custom-shaped to fit your teeth. Offering the best orthodontics treatment in Bangalore, they provide gentle, gradual movement to guide your teeth into a better position for an improved smile. These ‘U’-shaped trays are clipped onto your teeth and are a modern alternative to traditional braces.


Why Aligners, and Do You Need Them?
Aligners are a preferred choice for routine orthodontic treatment. If you feel your smile needs improvement, feel self-conscious during conversations, or lack confidence in public settings, aligners may be the solution for you. For personalized orthodontic care, visit Richardsons Face Hospital, where we provide the best orthodontics treatment in Bangalore.


How Do You Get Started?
To begin your aligner journey, visit Richardsons Face Hospital or book an orthodontic appointment. Our certified orthodontists will examine your dentition and create a customized treatment plan. After addressing your concerns and discussing options, we start your treatment.


What is the Procedure, and How Long Will It Take?

During your first appointment, we use digital intraoral scanners to capture high-precision images of your teeth and bite. Offering the best orthodontics treatment in Bangalore, these scans are processed through advanced orthodontic planning software to simulate tooth movements and calculate the number of aligner trays needed.

Treatment duration varies:

  • Minor cases: 4–6 months.
  • Complex cases: Longer, depending on tooth movement.

Is It Safe? Will I Get a Good Smile?
Yes, aligner treatment is completely safe. At Richardsons Face Hospital, our in-house aligners ensure high accuracy, complete customization, and patient convenience. Unlike mass-produced aligners, our approach prioritizes quality and results, guaranteeing a beautifully aligned smile.


When Will I Get My Aligners?
After approving your digital treatment plan, aligners are 3D-printed in-house. The trays are thermoformed, cut, and polished for a perfect fit. This process ensures quick turnaround times and precision.


Is It Painful? Are There Additional Procedures?
Aligner treatment is painless, with minimal steps like:

  • Attachments: Enhance tray grip.
  • Orthodontic buttons and elastics: Aid specific movements.
  • IPR (Interproximal Reduction): Creates space for proper alignment.
    These steps are performed at the start of your treatment.

Is It Invisible, and How Long Should I Wear It?
Yes, aligners are virtually invisible. Each tray is worn for 14 days before switching to the next one. Over time, the trays gently align your teeth.


What Are the Advantages of Aligners?

  • Invisible and discreet.
  • No dietary restrictions.
  • Better oral and gum hygiene.
  • Fewer clinic visits.
  • Painless and comfortable.

Trust the best orthodontics treatment in Bangalore at Richardsons Face Hospital for expert aligner treatments. Start your journey to a perfect smile today!

Rapid Maxillary Expansion for Narrow Arch

Lingual Brace Invisible Treatment

Lingual Brace Invisible Treatment

What is Lingual Orthodontics?
Lingual orthodontics involves braces placed on the inner side of your teeth, making the treatment invisible. The term “lingual” refers to “towards or near the tongue,” and these braces offer a discreet way to align your teeth without compromising aesthetics. For the best orthodontics treatment in Bangalore, lingual braces are a highly effective and aesthetically pleasing option.


History of Lingual Orthodontics
The first prototype of lingual braces was developed in 1975 for a model with high aesthetic demands due to her career. This innovation paved the way for invisible orthodontic solutions.


How Does It Work?
Lingual braces grip your teeth from the inside. Using orthodontic wires, they gently move the teeth into their desired positions.


Is It Truly an Invisible Treatment?
Yes, lingual braces are entirely invisible because they are placed on the inner side of your teeth. The outer appearance of your teeth remains unaffected, making it a discreet orthodontic option.


Why Choose Lingual Braces Over Other Options?
While traditional braces are effective, lingual braces provide the same results without a visible metallic smile. They are ideal for individuals seeking an alternative to ceramic braces or those hesitant about visible treatment. Opting for the best orthodontics treatment in Bangalore ensures expert care and excellent results.


Does It Hurt?

Lingual braces, part of the best orthodontics treatment in Bangalore, are not typically painful. While some patients may experience slight initial discomfort due to the foreign sensation, this subsides within days. Modern designs and materials ensure smooth brackets that protect the tongue and soft tissues, providing a comfortable treatment experience.


Treatment Duration
The duration varies based on the complexity of the case:

  • Simple cases: 6–8 months.
  • Complex cases: Typically 10–12 months for complete treatment.

What About the Cost?
The cost depends on individual needs and treatment plans. An orthodontic consultation will provide a detailed estimate. The starting price for lingual braces is around ₹80,000.


Do I Need Extra Treatment After Braces?
No additional treatment is required. Once you’re satisfied with your smile, the braces will be removed, and your teeth will be polished and prepared for retainers, ensuring long-lasting results as part of the best orthodontics treatment in Bangalore.


What Are Retainers?
Retainers are essential for maintaining the results of orthodontic treatment. Depending on your needs, our doctors will recommend suitable options, such as transparent retainers, to complement your invisible treatment.


Conclusion
Lingual braces offer an effective and discreet orthodontic solution for simple to complex cases. If you’re looking for the best orthodontics treatment in Bangalore, lingual braces are the perfect choice for a confident smile that meets your aesthetic and functional needs.

best orthodontics treatment in Bangalore

Damon self-ligation for non- non-extraction treatment plan

Damon self-ligation for non- non-extraction treatment plan

What Are Self-Ligation Brackets?
Self-ligation brackets are advanced orthodontic brackets designed with an additional wall that functions as a door. This door can be easily locked and unlocked, eliminating the need for traditional elastic ties. At Richardson Face Hospital, we offer the best orthodontics treatment in Bangalore, ensuring efficient and effective orthodontic care with these advanced brackets.


What Are Damon Brackets?

Damon brackets, developed by Dwight Damon, are self-ligation brackets paired with high-grade copper NiTi wires. These brackets efficiently treat complicated orthodontic cases in less time. At Richardson Face Hospital, known for the best orthodontics treatment in Bangalore, we use Damon braces to deliver excellent results.


Difference Between Damon Braces and Traditional Braces
Damon braces differ significantly from traditional braces in design and material, offering several advantages:

  • Fewer appointments: Reduced need for frequent adjustments.
  • Shorter visit times: Streamlined processes during each appointment.
  • Less discomfort: Minimal force application over an extended period.
  • Improved hygiene: No elastic ties to trap food or bacteria.
    They are particularly effective for children with poor oral hygiene and cases involving severe teeth overlap. This is why they are a core part of the best orthodontics treatment in Bangalore.

Procedure for Damon Braces
The process is similar to traditional braces:

  1. Preparation: Teeth are cleaned, and a solution called etchant is applied to prepare the surface.
  2. Bonding: Primer and adhesive are applied before securing the brackets onto the teeth.
  3. Placement: Wires are placed, and the treatment begins.

Are They Uncomfortable?
Damon braces are designed for comfort, producing low force over time, making the treatment much more patient-friendly compared to traditional braces.


Options in Damon Braces
Damon braces are available in both metal and ceramic options, providing traditional and aesthetic choices. Both options are equally effective in delivering successful outcomes.


Food Restrictions
Patients are advised to avoid:

  • Hard and crunchy foods (nuts, candies, etc.).
  • Sticky or junk foods.
    These can damage the bond between the brackets and teeth, potentially delaying the treatment.

What If a Bracket Breaks?

In case of a breakage:

  • Remove any loose wires or brackets gently and keep them safe.
  • Use orthodontic wax to cover sharp edges if discomfort arises.
  • Bring the broken parts to your orthodontist for repair.

Maintaining proper oral hygiene and following dietary recommendations can prevent such issues and ensure timely treatment completion. At Richardson Face Hospital, we are committed to providing the best orthodontics treatment in Bangalore, helping you maintain your beautiful smile throughout the process.


Conclusion
Damon self-ligation braces are a modern, efficient tool for addressing even the most complex orthodontic cases. For those seeking advanced orthodontic solutions with fewer appointments, less discomfort, and faster results, Damon braces are an integral part of the best orthodontics treatment in Bangalore.

Ceramic brackets

Ceramic Brackets

Ceramic Brackets

Ceramic brackets are a popular choice for patients seeking a discreet, aesthetically pleasing alternative to traditional metal braces at Richardson Face Hospital. Made from clear or tooth-colored ceramic, these brackets blend seamlessly with the natural color of your teeth, offering an aesthetic advantage without compromising on effectiveness. 

Ceramic brackets provide a great option for achieving a beautiful smile for the best orthodontics treatment in Bangalore.

Ceramic brackets work just as effectively as metal ones and are suitable for a wide variety of orthodontic needs. The procedure involves bonding these ceramic brackets to the front of the teeth, followed by connecting them with archwires.

Our experienced orthodontists will monitor your treatment and make necessary adjustments to ensure your teeth are shifting into their desired positions. For patients looking for the best orthodontics treatment in Bangalore, ceramic brackets at Richardson Face Hospital provide a subtle yet highly effective solution.

 

Metal brackets

Metal Brackets Regular

Metal Brackets Regular

Metal brackets are the most traditional and widely used orthodontic treatment available at Richardson Face Hospital. Known for their durability and effectiveness, metal braces are capable of correcting a variety of dental issues, from minor misalignments to more complex cases.

For those seeking the best orthodontics treatment in Bangalore, metal braces offer a proven and affordable solution.

The brackets are made from high-grade stainless steel and are bonded to the front of your teeth, connected by archwires that are periodically adjusted to move your teeth into the desired position.

The procedure begins with a thorough examination and a customized treatment plan, ensuring the best results. Metal brackets remain a popular choice due to their reliability, making them a trusted option for both children and adults in need of the best orthodontics treatment in Bangalore.

Functional Appliance for growing children

Functional Appliance for growing children

Functional Appliance for growing children

Functional appliances are a crucial part of early orthodontic intervention for growing children. At Richardson Face Hospital, we offer the best orthodontics treatment in Bangalore, including specialized appliances designed to correct jaw growth discrepancies and guide the development of the teeth and jaws into a more favorable position.

By addressing these issues early, functional appliances help prevent more severe problems in the future, reducing the need for extensive orthodontic treatment later on.

The treatment process begins with a thorough evaluation of the child’s dental and facial structure. Based on this evaluation, custom-made functional appliances are created to fit the child’s mouth comfortably. These appliances can be either removable or fixed, depending on the specific needs of the patient. At Richardson Face Hospital, known for the best orthodontics treatment in Bangalore, we ensure that every child receives personalized care to achieve optimal results and a healthy smile.

Regular follow-up visits are essential to monitor progress and make necessary adjustments, ensuring that the child’s jaw and teeth develop correctly. This early intervention can pave the way for a healthier and more harmonious smile in the future, making Richardson Face Hospital the best choice for the best orthodontics treatment in Bangalore.

Facemask for growing children with midface deficiency

Facemask for growing children with midface deficiency

Facemask for growing children with midface deficiency

Facemasks are used at Richardson Face Hospital as part of orthodontic treatment for growing children with midface deficiency, a condition where the upper jaw is underdeveloped. This orthopedic appliance helps promote the forward growth of the midface, improving both facial balance and function. If you’re looking for the best orthodontics treatment in Bangalore, facemask therapy is a highly effective solution for this condition.

Early intervention with a facemask can significantly enhance a child’s facial aesthetics and overall oral health. The treatment process involves the child wearing a facemask that is anchored to the upper jaw using elastics or hooks, and applying gentle forward pressure. The facemask is typically worn for several hours each day, often during sleep. At Richardson Face Hospital, we offer the best orthodontics treatment in Bangalore to help improve your child’s smile and facial development.

Our skilled orthodontists will provide detailed instructions and monitor the child’s progress through regular follow-up appointments, ensuring that the appliance is adjusted as needed. For those seeking the best orthodontics treatment in Bangalore, our team ensures the most effective, individualized care for children with midface deficiency.

Clear Retainers

Clear Retainers

Clear Retainers for Maintaining Your Perfect Smile at Richardson Face Hospital

Clear retainers are an essential part of post-orthodontic care at Richardson Face Hospital, designed to maintain the results achieved during active treatment. Made from transparent plastic, clear retainers are custom-fitted to your teeth and are nearly invisible when worn. If you’re looking for the best orthodontics treatment in Bangalore, clear retainers are a great option to ensure your new smile stays intact.

After the completion of your orthodontic treatment, precise impressions of your teeth are taken to create clear retainers that fit perfectly. These retainers help to keep your teeth in their new positions while allowing you to show off your newly straightened smile without the appearance of a traditional retainer. Patients are advised to wear their retainers as directed, typically during the night, to prevent any relapse of tooth movement. Regular check-ups ensure that your teeth remain aligned, and your smile stays beautiful. For the best orthodontics treatment in Bangalore, trust Richardson Face Hospital to guide you through every step of your orthodontic journey.

Fixed Functional Treatment for Young Teenagers

Fixed Functional Treatment for Young Teenagers

Fixed Functional Treatment for Young Teenagers

Fixed functional treatments are specifically designed for young teenagers to address bite and alignment issues during their growth phase. These treatments use fixed appliances to correct jaw discrepancies and guide the teeth into proper alignment, improving both function and aesthetics. At Richardson Face Hospital, we offer the best orthodontics treatment in Bangalore for teenagers seeking effective solutions for bite issues.

The treatment process starts with a comprehensive assessment to determine the most suitable fixed functional appliance for the patient. The appliance is then securely attached to the teeth and remains in place throughout the treatment duration. Regular monitoring and adjustments are necessary to ensure optimal results, helping young teenagers achieve a well-aligned bite and a confident smile. Trust Richardson Face Hospital for the best orthodontics treatment in Bangalore to give your teenager the smile they deserve.

Nasoalveolar Molding for cleft orthodontics

Nasoalveolar Molding for cleft orthodontics

Nasoalveolar Molding for cleft orthodontics

Nasoalveolar molding (NAM) is a specialized orthodontic treatment offered at Richardson Face Hospital for infants born with cleft lip and palate. NAM helps to reshape the gums, lip, and nostrils before surgical repair, improving the outcomes of subsequent surgeries and aiding in the overall development of the child’s facial structure.

The process begins shortly after birth, with the creation of a custom-molded appliance that fits inside the baby’s mouth. This appliance is adjusted periodically to guide the growth of the tissues and bones in the affected areas. At Richardson Face Hospital, we offer the best orthodontics treatment in Bangalore, specializing in early interventions like Nasoalveolar Molding (NAM) to enhance the outcomes of cleft lip and palate surgeries.

Regular visits to our orthodontic specialists are essential to monitor progress and make necessary adjustments, ensuring the best possible results for the child’s future surgeries and overall facial development. At Richardson Face Hospital, we provide the best orthodontics treatment in Bangalore for infants and children requiring NAM, helping them achieve the best possible outcomes for their health and appearance.

Smile Arch protection with Pitts 21 brackets

Smile Arch protection with Pitts 21 brackets

Smile Arch protection with Pitts 21 brackets

Pitts 21 brackets are a cutting-edge orthodontic solution used to protect and enhance the smile arch. These brackets are designed to deliver precise control over tooth movement, ensuring that the natural curvature of the smile is preserved while correcting misalignments. At Richardson Face Hospital, we provide the best orthodontics treatment in Bangalore, offering advanced treatments like Pitts 21 brackets to help achieve a beautifully aligned smile with optimal function.

The treatment begins with a detailed consultation and assessment to develop a personalized treatment plan. Pitts 21 brackets are then bonded to the teeth, and their unique design allows for more efficient and comfortable tooth movement.

Regular follow-up appointments are scheduled to monitor progress and make necessary adjustments, resulting in a beautiful, well-aligned smile that maintains the natural arch of your teeth. At Richardson Face Hospital, we offer the best orthodontics treatment in Bangalore, ensuring that your smile is not only functional but also aesthetically pleasing throughout the treatment process.

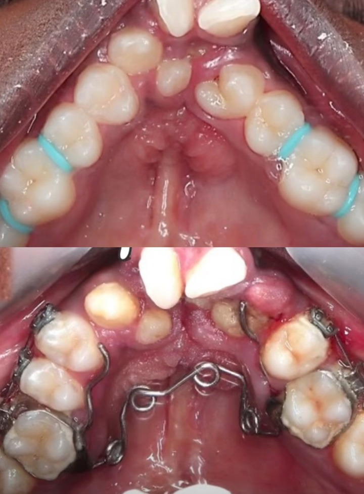
Rapid Maxillary Expansion for Narrow Arch

Rapid Maxillary Expansion for Narrow Arch

Rapid Maxillary Expansion for Narrow Arch

Rapid maxillary expansion (RME) is a highly effective treatment offered at Richardson Face Hospital, recognized for providing the best orthodontics treatment in Bangalore. This procedure is ideal for patients with a narrow upper jaw, helping to create more space for teeth alignment and improving overall bite function.

The process begins with a comprehensive evaluation, followed by the fitting of a custom-made expander. The device, typically attached to the upper molars, is gradually adjusted to apply gentle pressure, widening the upper jaw over time. At Richardson Face Hospital, we specialize in the best orthodontics treatment in Bangalore, using advanced techniques like rapid maxillary expansion (RME) to improve bite function and create more space for proper teeth alignment. Regular check-ups ensure the expansion progresses correctly for effective results.

Regular check-ups are essential to monitor the progress of the expansion and make any necessary adjustments. RME is particularly beneficial for children and adolescents, as their bones are still growing and respond more effectively to orthodontic treatment. If you’re looking for the best orthodontics treatment in Bangalore, RME at Richardson Face Hospital offers a proven solution for enhanced dental health and improved smiles.

Slow Expanders removable

Slow Expanders removable

Slow Expanders removable

Slow expanders offer a gradual and controlled method of widening the upper jaw, making them ideal for patients who need a gentle approach. At Richardson Face Hospital, renowned for providing the best orthodontics treatment in Bangalore, we specialize in custom-made removable slow expanders designed for comfort and effectiveness.

The process begins with taking precise impressions of the patient’s teeth to craft a personalized expander. Patients are instructed to wear the expander for a specified number of hours each day and make adjustments as guided by the orthodontist. At Richardson Face Hospital, we provide the best orthodontics treatment in Bangalore, ensuring effective results and a comfortable experience for all our patients.

Regular follow-up visits are crucial to monitor the expansion’s progress, ensuring it occurs at a steady and appropriate pace. This gradual approach minimizes discomfort while delivering effective results, helping patients achieve a well-aligned jaw and improved dental function. For a gentle yet effective orthodontic solution, trust the expertise at Richardson Face Hospital, providing the best orthodontics treatment in Bangalore.

The Richardsons Happy Patient's

Testimonials

Best Face Hospital In India
Gallery